Studio Dentistico

Dr. Giampiero Lovato

Ortodonzia

Con l’ortodonzia curiamo le malocclusioni, ossia la scorretta posizione dei denti nelle singole arcate, che possono essere causa di mal funzionamento e/o inestetismo.
Il trattamento ortodontico può essere intrapreso durante l’infanzia (terapia intercettiva),
durante l’adolescenza, oppure in età più matura.

Esistono dispositivi ortodontici diversi che possono essere utilizzati in base alle differenti situazioni, ecco un paio di esempi:

Ortodonzia

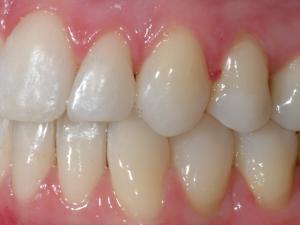
Di seguito viene riportato un caso di malocclusione riabilitato mediante l’utilizzo di apparecchio ortodontico fisso.
La durata del trattamento è stata di 15 mesi circa. A fine cure si evidenzia un sorriso ampio e armonico.
prima
prima
prima
dopo
dopo
dopo
prima
dopo

Ortodonzia e Chirurgia Ortognatica

Nei casi più complessi l’ortodonzia può essere abbinata con successo ad interventi di chirurgia ortognatica.
La Paziente del caso che vi presentiamo di seguito ha intrapreso un trattamento ortodontico pre-chirurgico per allineare i denti nelle due arcate, successivamente è stata sottoposta ad un intervento di chirurgia maxillo-facciale. Infine il trattamento è stato concluso con la rifinitura ortodontica ed alcune coronoplastiche nel settore anteriore.

prima
prima
prima
dopo
dopo
dopo
prima
prima
prima
dopo
dopo
dopo
Prima
Dopo
Studio Dentistico Giampiero Lovato
Sede operativa: Piazza S. Andrea, 11 Bagnaria Arsa - 33050 Udine
P.IVA 01157980309 C.F. LVTGPR55H14G284I
Tel.: 0432 920240
Fax: 0432 920240
Powered by Mosajco CMS
Mosajco